SEAL Therapeutics AG Verified listing Verified listing

  • Swiss Biotech Association
    Member

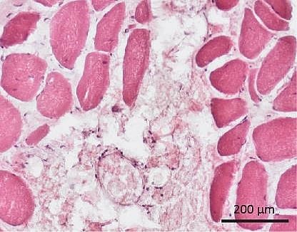
SEAL Therapeutics develops an innovative gene therapy approach that overcomes the functional defects causing LAMA2-related muscular dystrophy. The approach involves AAV-based delivery of specifically designed artificial linker proteins to compensate for the missing laminin-alpha 2 in muscle fibers.

Location
Additional address info
  • c/o Prof. Dr. Markus A. Rüegg, Biozentrum
Canton
Facts & figures
  • Type of organization
    Private company
  • Year of foundation
    2021
  • Number of employees in Switzerland
    1-9
Key business

You may also be interested in